(Neuroscience News) Researchers studying the brain found that women taking oral contraceptives, commonly known as birth control pills, had significantly smaller hypothalamus volume, compared to women not taking the pill, according to a new study presented today at the annual meeting of the Radiological Society of North America (RSNA).
Related Depression and Increased Cancer Risk: 6 Reasons Not to Take Birth Control Pills
by Staff Writer, December 4th, 2019
Summary: A new neuroimaging study reveals women who take oral contraception have reduced hypothalamic volume compared to women who do not take the pill. Smaller hypothalamic volume was associated with increased negative emotions and depression risk.
Source: RSNA
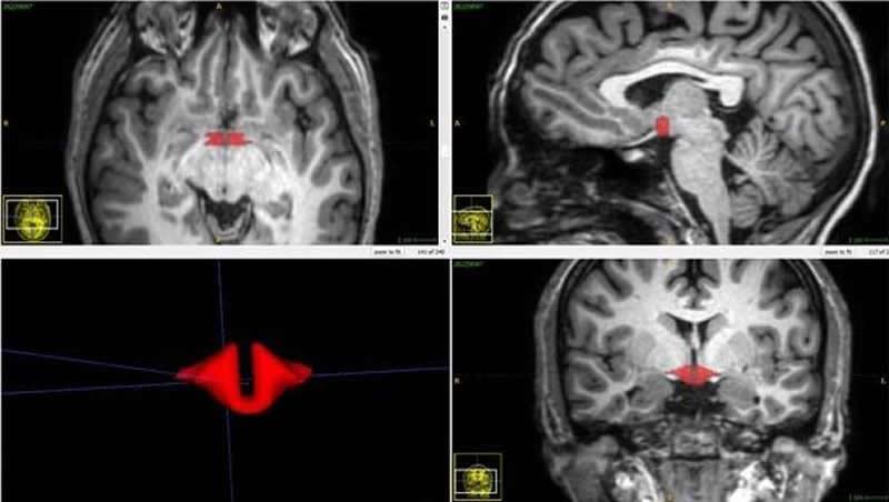
Located at the base of the brain above the pituitary gland, the hypothalamus produces hormones and helps regulate essential bodily functions including body temperature, mood, appetite, sex drive, sleep cycles and heart rate.
Structural effects of sex hormones, including oral contraceptive pills, on the human hypothalamus have never been reported, according to the researchers. This may be in part because validated methods to quantitatively analyze MRI exams of the hypothalamus have not been available.
“There is a lack of research on the effects of oral contraceptives on this small but essential part of the living human brain,” said Michael L. Lipton, M.D., Ph.D., FACR, professor of radiology at the Gruss Magnetic Resonance Research Center at Albert Einstein College of Medicine and medical director of MRI Services at Montefiore Medical Center in New York City. “We validated methods for assessing the volume of the hypothalamus and confirm, for the first time, that current oral contraceptive pill usage is associated with smaller hypothalamic volume.”
Oral contraceptives are among the most popular forms of birth control and are also used to treat a host of conditions, including irregular menstruation, cramps, acne, endometriosis and polycystic ovary syndrome. According to a 2018 report from the Centers for Disease Control and Prevention’s National Center for Health Statistics, from 2015 to 2017 approximately 47 million women aged 15-49 in the U.S. reported current use of contraceptives. Of those, 12.6% used the pill.
In his study, Dr. Lipton and colleagues recruited a group of 50 healthy women, including 21 women who were taking oral contraceptives. All 50 women underwent brain MRI, and a validated approach was used to measure hypothalamic volume.
“We found a dramatic difference in the size of the brain structures between women who were taking oral contraceptives and those who were not,” Dr. Lipton said. “This initial study shows a strong association and should motivate further investigation into the effects of oral contraceptives on brain structure and their potential impact on brain function.”
Other findings from the study, which Dr. Lipton described as “preliminary,” were that smaller hypothalamic volume was also associated with greater anger and showed a strong correlation with depressive symptoms. However, the study found no significant correlation between hypothalamic volume and cognitive performance.
Co-authors are Ke Xun Chen, M.D., Sandie Worley, B.S., Henry J. Foster, B.S., David Edasery, M.D., Shima Roknsharifi, M.D., and Chloe Ifrah, B.A.
Buy Book The Female Brain
Funding: The study was funded by the National Institutes of Health/National Institute of Neurological Disorders and Stroke and by The Dana Foundation.
Source:
RSNA
Media Contacts:
Linda Brooks – RSNA
Image Source:
The image is credited to the study author and RSNA.
Original Research: The findings will be presented at the 105th Scientific Assembly and Annual Meeting of the Radiological Society of North America-RSNA 2019.
Stillness in the Storm Editor: Why did we post this?
Psychology is the study of the nature of mind. Philosophy is the use of that mind in life. Both are critically important to gain an understanding of as they are aspects of the self. All you do and experience will pass through these gateways of being. The preceding information provides an overview of this self-knowledge, offering points to consider that people often don’t take the time to contemplate. With the choice to gain self-awareness, one can begin to see how their being works. With the wisdom of self-awareness, one has the tools to master their being and life in general, bringing order to chaos through navigating the challenges with the capacity for right action.
– Justin
Not sure how to make sense of this? Want to learn how to discern like a pro? Read this essential guide to discernment, analysis of claims, and understanding the truth in a world of deception: 4 Key Steps of Discernment – Advanced Truth-Seeking Tools.
Stillness in the Storm Editor’s note: Did you find a spelling error or grammatical mistake? Send an email to [email protected], with the error and suggested correction, along with the headline and url. Do you think this article needs an update? Or do you just have some feedback? Send us an email at [email protected]. Thank you for reading.
Source:
https://neurosciencenews.com/hypothalamus-volume-birth-control-15287/


Leave a Reply